앞·뒤 관절테두리(관절순) 파열은 어깨 관절오목 앞·뒤 테두리가 찢어져, 어깨가 빠질 듯한 느낌이나 실제 탈구·반탈구가 반복되기 쉬운 상태를 말한다.
1. 앞·뒤 관절테두리 파열의 정의

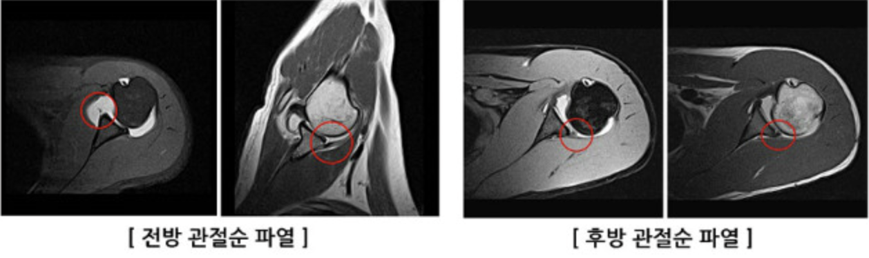
- 관절오목 앞쪽(전방) 또는 뒤쪽(후방)을 둘러싼 관절테두리가 외상·탈구·반복된 스트레스로 찢어지거나 벗겨진 상태이다.
- 전방 파열은 전방 불안정성과, 후방 파열은 후방 불안정성과 밀접하게 연관된다.
2. 앞·뒤 관절테두리 파열의 주요 증상·특징
🔹 방향성 불안정감
- 팔을 벌리고 뒤로 젖히는 자세에서 “빠질 것 같은 느낌”이 드는 경우(전방 파열)
- 팔을 몸 앞쪽에서 밀어낼 때 뒤쪽 불안정감을 느끼는 경우(후방 파열)
🔹 반복되는 걸림·스냅
- 특정 각도에서 “탁” 걸렸다가 풀리는 느낌, 관절 속에서 나는 클릭음이 반복될 수 있다.
3. 앞·뒤 관절테두리 파열의 위험 요인
- 첫 어깨 탈구·반탈구 경험
- 접촉 스포츠(럭비, 축구, 격투기 등)
- 반복적인 과신전·과가동 운동
- 과이완성 체질
4. 앞·뒤 관절순 파열에서 재활이 중요한 이유
관절순 파열이 있다고 해서 무조건 수술이 필요한 것은 아니며, 많은 경우 안정화 재활로 일상·레저 수준 활동이 가능해질 수 있다.
🔹 재활의 핵심 목표
- 어깨 주변 안정화 근육 강화
- 회전근개, 견갑골 안정화 근육, 코어 근육 포함
- 불안정감을 유발하는 방향의 운동·자세 조절
- 위험 범위를 피하면서 점진적으로 가동범위 확대
- 전신 체인(골반·몸통·견갑골)을 활용한 움직임 재교육
🔹 재활을 소홀히 했을 때 생기기 쉬운 문제
- 반복 탈구·반탈구가 계속되면 관절순·인대 손상이 더 진행되고, 향후 수술이 필요할 가능성이 커질 수 있다.
5. 앞·뒤 관절테두리 파열에서 의료진·재활센터 상담이 필요한 상황
- 특정 자세에서 반복적으로 “빠질 것 같은 느낌”이 드는 경우
- 운동 중 실제 탈구·반탈구가 발생한 적이 있는 경우
- 불안정감 때문에 운동·일상 동작을 피하게 되는 경우